Invisalign in Wilmington MA


Are you looking to correct your teeth but you want to avoid the appearance and hassle of traditional orthodontics? At Smile Life Dental, we specialize in alternative orthodontic treatments to meet the needs of our Wilmington patients.
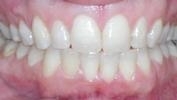
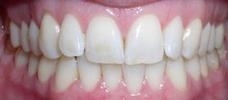
Invisalign is one of the most effective and popular options we offer. This state-of-the-art treatment can address many of the most common orthodontic conditions such as overcrowding, underbites, overbites, and gaps between your teeth. It can also address conditions such as crooked teeth and orthodontic relapse.
How Does Invisalign Work?
First, you will visit our Wilmington dental office so we can have a consultation to determine if you are a good candidate for Invisalign. Then Dr. Caselle and the rest of our helpful team will gather the data we need to get started. We take digital images, x-rays, and impressions to send to the Invisalign lab that will create your plastic aligners.
Invisalign works by attaching tooth colored “buttons” to specific teeth that aid the aligners in the movement of your teeth. When you wear the aligners, the buttons are not noticeable. Even without the aligners, their appearance is subtle. This provides patients with a clear advantage over brackets and wires. Invisalign allows you to have orthodontic treatment without the world noticing that you have braces.
With Invisalign, we recommend wearing your aligner trays for at least twenty-two hours each day. You can take them out to eat and brush your teeth, but you need to replace them right away for your treatment to progress in a timely fashion. The aligners are comfortable and smooth. Since they are not bulky, you should get used to them quickly.
Ongoing Treatment with Invisalign
Dr. Caselle will monitor your progress through regular orthodontic visits to our Wilmington dental office. This gives him the opportunity to make any necessary adjustments to your treatment routine so that you can stay on track.
In most cases, you will change your aligners approximately every two weeks. We will make the proper recommendations for you during treatment to expedite your new smile!
Treatment Time for Invisalign
While every patient is different and treatment times vary based on your individual needs, treatment time is one year, on average. The best way to ensure your treatment stays on track is to keep your scheduled appointments and wear your aligners as much as possible. The small amount of time you invest now means a beautiful smile in your future.
Call Us for a Consultation
Do you want straighter teeth and feel Invisalign is a good option for you? Call us today and schedule an appointment with Dr. Caselle so that he can share all of your treatment options with you. Our highly skilled and friendly team is dedicated to helping you achieve a beautiful smile.