Smile Life Dental

Smile Gallery

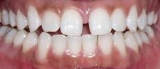
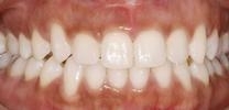
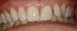
Restoring teeth was once a matter of function alone, but with the current advancements in dentistry, having a smile that looks beautiful also became important.

At Smile Life Dental, we believe you can have both durability and esthetics with modern, tooth-colored restorations. Our smile gallery contains some actual patient examples of the cosmetic dentistry options available in our Wilmington dental office.

We offer adult orthodontics to straighten teeth without years of treatment with brackets and wires. You can see some of the impressive results below.

Have a look through our results and give us a call if you are ready to improve your smile.

Ready to book an appointment?
George Speaks About How Painless His Frenectomy Was
If you have difficulty using our website, please email us or call us at (978) 657-4550
View the ADA Accessibility Statement
Privacy Policy