Smile Life Dental

Six Month Smiles Case One

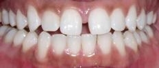
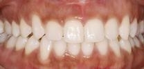
Rita, a stay-at-home mom from Burlington, MA, felt unhappy with the spacing between her front teeth. She had considered veneers and possibly bonding to close the space; however, it would have resulted in wide front teeth, which would be disproportionate to her other front teeth, making them look abnormal. Using Six Month Smiles, this spacing was easily treated in just four months.

Related Services:

Cosmetic Dentistry
"I love the natural tooth color, instead of the gray metallic fillings that I've had for years."

Jane–Andover, MA

Ready to book an appointment?
If you have difficulty using our website, please email us or call us at (978) 657-4550
View the ADA Accessibility Statement